ヒデ歯科クリニック|精密根管治療
つらい痛みのある虫歯でお悩みの方へ

大阪で歯の根っこ治療なら
ヒデ歯科クリニック

何度も繰り返す歯の痛みや違和感、抜歯と言われて悩んでいる方へ。ヒデ歯科クリニックでは、マイクロスコープを活用した精密根管治療で、再発リスクを抑える治療をご提案します。

電話で相談する 医院ホームページを見る
深江橋駅から徒歩約10分 土日診療 駐車場・駐輪場あり

このような方はご相談ください

  • 根管治療をしたのに、また痛みや違和感がある
  • 何度も治療を繰り返している
  • 抜歯になるのではないかと不安
  • できるだけ歯を残したい
  • しっかり説明を受けて納得して治療を選びたい

なぜ根管治療は再発することがあるのか

根管治療は、歯の内部にある非常に細く複雑な管の中の感染源を取り除く治療です。見えにくい領域のため、治療技術と精度が結果を大きく左右します。

1

見えにくい

根管は複雑で、肉眼では確認が難しい部分があります。

2

感染の取り残し

感染源が一部でも残ると、再発や慢性炎症につながることがあります。

3

再治療は難易度が上がる

再治療では既存の材料や複雑な内部構造への対応が必要になります。

根管治療では、どれだけ正確に感染源へアプローチできるかが大切です。

ヒデ歯科クリニックの精密根管治療

マイクロスコープを活用

見えにくい部位を拡大視野で確認しながら、より丁寧な処置を目指します。

説明を大切にした診療

治療方法の違い、通院回数、注意点を丁寧に共有し、納得して選べる診療を目指します。

保険診療と自費診療の考え方

どちらがよい・悪いではなく、目的と制約の違いがあります。ご自身の希望に合わせて選ぶことが大切です。

項目 保険診療 自費診療
考え方 保険制度の範囲で行う一般的な治療 時間・方法・材料の選択肢を広げやすい治療
説明と選択 制度内での選択 ご希望に応じた治療設計がしやすい
向いている方 まず一般的な治療を受けたい方 再発リスクや精度をより重視したい方

治療の流れ

1

診査・説明

症状や画像所見を確認し、現在の状態と選択肢をご説明します。

2

精密治療

拡大視野を活かし、感染源に丁寧にアプローチします。

3

経過確認・修復

治療後の状態を確認し、必要に応じて最終的な修復へ進みます。

症例紹介

当院で実際に行なった治療画像となります。患者様の許可を得た上で掲載をさせていただいております。

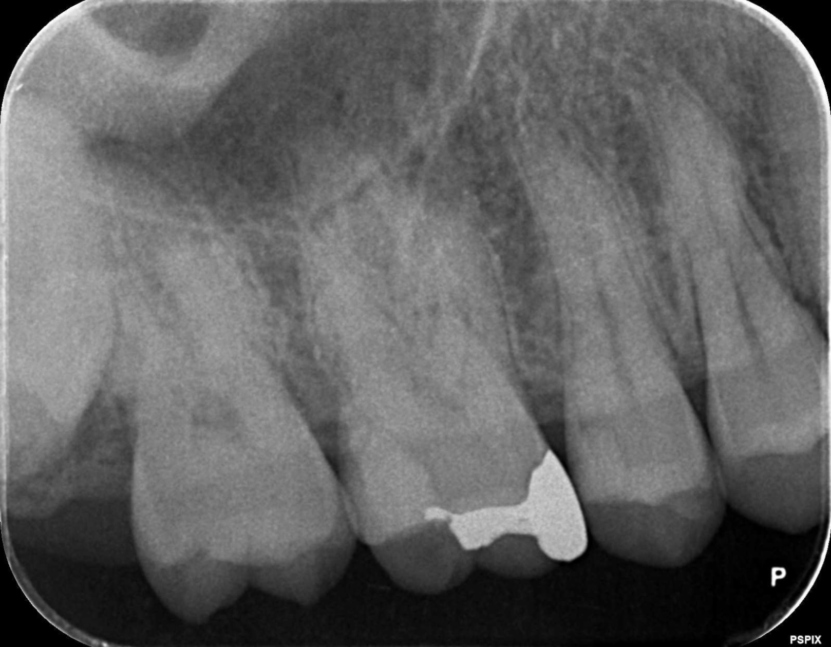
術前

術前画像

持続的な痛みがあり他院で抜歯になると言われて来院されました。右上の奥から2番目の歯に、歯茎を超えて骨の近くまで進行した虫歯を確認いたしました。しっかりと治療方針を説明し患者様の同意を得ました。当院にて歯を抜かない治療を行ないました。

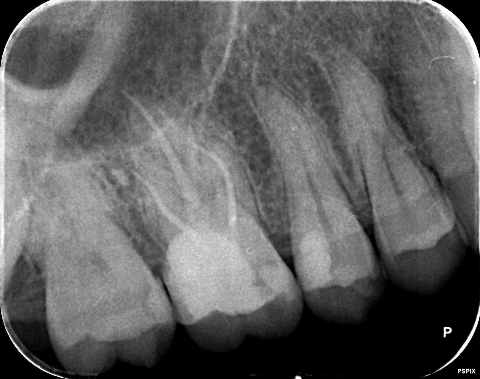
術後

術後レントゲン 術後口腔内

精密根管治療により感染源を除去。症状は消失し、機能的にも問題なく経過しております。

このような症状でお悩みの方はご相談ください

ご相談はこちら

よくあるご質問

痛みはありますか?

局所麻酔を行い、できる限り痛みに配慮して進めます。症状や炎症の状態により個人差がありますので、事前にご説明します。

何回くらい通院が必要ですか?

当院では最短での治療を心がけております。症例の多くが1日で完了しております。ただ、歯の状態や細菌感染の程度によって治療回数は変わりますので、まずはご相談ください。

神経を取ると歯が弱くなるのは本当ですか?

神経を取った歯と何もしていない歯を比較した研究では耐久性に差はない、と報告されております。その上で、当院では歯を必要最小限にしか削らない治療法を採用しております。さらに、歯の耐久性を上げる材料を用いて修復しますので、ご安心ください。

抜歯と言われた歯でも相談できますか?

1%でも歯を残せる可能性があるのなら諦める必要はありません。まずはご相談ください。

できるだけ歯を残したい方へ

何度も治療を繰り返したくない、きちんと説明を受けて納得して治療を選びたい。もう悩む必要はありません。ヒデ歯科クリニックへご連絡ください。

06-6963-9020 に電話する 医院ホームページ